カテゴリー:
たかブログ歯科治療ブログ
コロナも少しずつ落ち着いて来ているようにみえるここ数日ですが、患者様におかれましては、まだまだ緊張の毎日を送っていることと思います。
この時期にブログで何を書こうかと思案し、書いては消してを繰り返し、なかなか投稿できないでおりました。
そんな中で日々思っていることは、
『この時期に出来る事を考えるのは大事。さらに、いつもの日常をいつも以上に出来るように考えることも大事!』ということ。
私たちの治療を求めてくださる患者様がいる限り、常に全力で治療にあたらせていただきます。
歯としての機能の回復はもちろんのこと、審美的にもどこをどのように治したから分からないような自然な美しさを追求していきたいと思います。
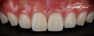
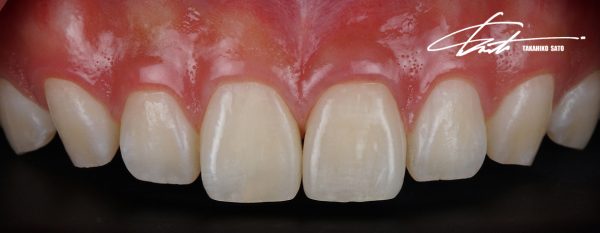
ちなみに、こちら患者様。根管治療とかぶせ物の治療。虫歯治療のダイレクトボンディング1本、審美的なダイレクトボンディング1本行っています。分かりますか?
では、5月も後半戦に入りましたが、よろしくお願い致します。
院長 佐藤

