カテゴリー:
上の前歯が「すきっ歯」になっている方って結構いますよね。かくいう私も上の前歯がすきっ歯なんです(汗)。このような状態を専門用語では、「正中離開」と言います。
これは、上唇からつながっている筋が歯肉に長くつながっているのが邪魔をして歯と歯がぴったりくっつかずに隙間が出来てしまうと言われています。治療法は、一番の方法は「矯正治療」だと思いますが、多くの患者さんはこの2本のために矯正装置を沢山付るのは嫌だ!、高額な費用は掛けられないと断念される方が多いのも事実です。ただ、長期的に見た時はご自身の歯だけで治療を完了するのがベストだと思います。
では、ベストでなくてベターな方法はないかというと・・・・。
「安心してください。ありますよ!(キラッ)」となるわけです。
どんな方法かというと、言わずと知れた「ダイレクトボンディング」になります。
ダイレクトボンディングは、歯に樹脂を接着する方法です。主にむし歯治療に用いますが、このような「すきっ歯」治療にも効果を発揮するのです!
では、治療例を見ながら説明させていただきます。
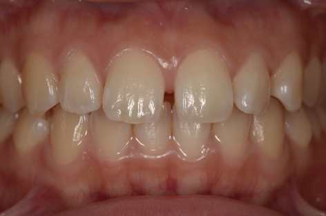
このように、前歯の真ん中がぴったりくっついておらず、隙間がある状態(正中離開)です。ただし、奥歯の咬み合わせは問題なくむし歯も無いので、隙間を審美的に改善するのが目的となります。
詳しく診査をすると、
前歯2本の生えている方向が微妙に違います。これで、ちょっと難易度が上がりました(汗)。
前歯が審美的に見えるポイントの1つとして「左右対称(シンメトリー)」というのがありますが、歯を削らずに完全にシンメトリーにするにはやはり矯正治療しかありません。今回は、完全にじゃなくてもよいという条件の下ダイレクトボンディングになりました。
そうは言っても、明後日の方向を向かせるわけにもいかないので・・・出来る限り近づけます(汗)
治療を行う際にはいろいろなポイントがあります。
唾液や浸出液、患者さんの呼気などが歯と樹脂の接着を阻害してしまうので、ラバーダム防湿という下準備が必要になります。これは、歯の根っこの治療(根管治療)と同じですね。
その後、歯の形や色を整えながら、樹脂を歯に接着していきます。
そうすると、
このようになります。
その後、形態修正と研磨を徹底的に行うと・・・・・
このようになります。
どこを詰めたかわかりますか?
完全な左右対称ではないのですが、違和感なくお口の中で存在しているように思います。
1週間後に色や形、接着の最終チェックを行い、特に問題ありませんでしたので、終了となりました。
この治療の後は、メンテナンスも通常とは違い、ちょっと気を付けなければならないことがありますので、その辺を考慮したメンテナンスを行っていきたいと思います。
いかがでしょうか?前歯の隙間が気になる方へは朗報だと思いますが・・・。
ご興味がある方は、一度ご相談いただければ幸いです。
院長 佐藤






