カテゴリー:
ここのところ治療のお話が滞っていましたので、今日はちょっと治療のお話を。
たかデンタルクリニックと言えば「根管治療」「ダイレクトボンディング」と思われている方も多いかと思いますが、もちろんそれ以外の治療も行っています。今回はその中の審美的な治療のセラミック治療について。
「出会って最初の6秒で、その人の第一印象は決まってしまう」と言われていますので、その6秒に集約されているのは見た目がほとんどだと思います。とりわけ口元の印象は大きく左右されると思われますので、キレイな歯や歯並びはどうしても手に入れたいものだと思います。しかし、前歯の治療における治療方法、材料、技術によっては、期待した結果とは大きく異なることもありますので、そこは要注意のポイントでもあります。
今回ご紹介する方も根の病気の治療の後、私と技工士さんのコラボにより、キレイに見えるはもちろんのこと、天然歯のように自然に見える審美治療を行いましたのでご紹介させていただきます。
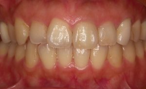
初診時は、このような感じで
向かって右側の2本に根の病気が出来ており、違和感を訴えていました。また、向かって左の2番目は、以前の詰め物が不適合でありました。
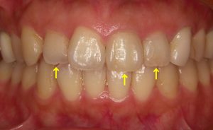
スマイル写真はこんな感じ。口元の黄色身や着色がちょっと目立っていました。
~
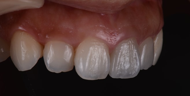
根の治療の後、ホワイトニングをして、向かって左の2番目は私がダイレクトボンディングをして、向かって右側の2本の歯肉の形・バランスを整えて、技工士さんにセラミックを製作してもらいました。
実際に患者さんの口元、歯、色、明るさ、透明感、表面の質感などを観察してもらうため、技工士さんに治療現場に足を運んでもらって資料を採得してもらいます。
そうすると・・・・
このような・・・
かぶせ物が完成致します!
前歯の表面の複雑な凹凸が天然歯のような歯の表情を作り出しています。いかがでしょうか?
笑顔も素敵で、最初の6秒を制することは間違いないでしょう!
~
今回の素晴らしいセラミックのかぶせ物を製作していただいたのは、私が信頼を寄せている技工士関 錦二郎さんです。
このような素晴らしいかぶせ物を貴方も入れてみませんか?
ご興味のある方は、一度ご相談ください。
~
院長 佐藤








