カテゴリー:
根管治療

根管治療が必要な歯を見ると歯肉がこのような状態になっていることがあります。
皆さん思い当たる方もいらっしゃるのではないでしょうか。
これは、根の先に出来た病気(膿の袋)が外に出ようと道を作った結果、歯肉に出口を作った状態、また歯肉の周辺に膿の溜まりを作った状態です。
この状態を見て、さらにレントゲン写真を見て「根の治療をしても治らないから抜歯をしましょう」と言われてしまうことも多々ありますが、もしかしたらまだ抜歯の前に出来ることはあるかもしれません。
しっかりとした根の治療をすることによって、病気が取り除かれ、
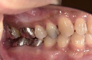
このように歯肉も回復してきます。そして、時間を掛けてですが、溶けてしまった骨も再生してきます。
そうすると・・・・
機能するしっかりとした歯としてまだまだ活躍できるかもしれません。
皆さんのお口の中はどのようになっていますか?
歯の保存のために、岩手・盛岡の患者さんのために根の病気が少しでも減るお手伝いが出来ればと思っております。
では、今年も根管治療を頑張っていきたいと思います!
たかデンタルクリニックHP http://www.taka-dc.com/
根管治療専門HP https://www.taka-dental-clinic.com/
根管治療専門ブログ https://www.taka-dental-clinic.com/blog/



