カテゴリー:

だいぶご無沙汰してしまいました。申し訳ございませんm(_ _)m
書きたいことは沢山あったのですが、患者さん皆さんにどのように伝えようかと思っているうちに月日が経ってしまいました(汗)
今日は、クリニックホームページの症例ブログと連動してのお話。なので、こちらの後は、クリニックホームページのブログをご覧いただければ幸いです。
根管治療の最後の砦となる治療は、『外科的歯内療法』
通常の根管治療では、どうしても治らない時にうつ最後の一手です。これで治らなければ抜歯となってしまうので、何とかここで食い止めたい。なので、根の先の病気を取り除く、治すことが第一優先です。
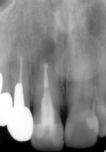
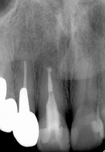
こちらの患者さんもまさにそういう思いで8年前に手術を行いました。
手術前 手術後 手術後1年
確かにしっかり治ってくれています。患者さんも喜んでくれています。
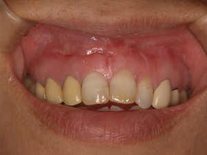
しかし・・・・・
自分の中では、納得いかないことも。
歯肉がこのように。
その当時は、顕微鏡治療のかけ出しのころで、まだまだ歯肉の切開位置ややり方、縫合の仕方が未熟だったのだと思います。
私、一応歯周病専門医でもあるので、歯肉、特に前歯の審美領域であればこのような瘢痕が出来ないように行いたい。笑っても決して見える位置ではないのですが、出来ることなら手術をしたことすら忘れてしまうような傷跡を残さない治療をしたいと常々思っており、その後現在に至るまで研鑽を積んでおります。
なので、歯根の病気を治すために全力を傾ける外科手術であっても、歯肉をいかに扱うかということを考えながら現在手術を行っています。
そこで・・・・・
はじめに戻って、なぜホームページとの連動企画なのか。another storyなのかというと・・・・。
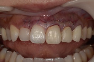
あの患者さんも外科的歯内療法を行っているのです。
手術直後の縫合時の写真はこちら
そして、術後3ヶ月でセラミックのかぶせ物を装着したところが、クリニックホームページにありますようにコチラ
8年間の進歩はありますでしょうか?
今出来る私の全力はこんな感じですが、もっともっとさらにその先へという思いはありますので、今日より明日、明日より明後日と今後もがんばっていきたいと思います。
患者様のQOLのためにも・・・。
たかデンタルクリニックHP http://www.taka-dc.com/
根管治療専門HP https://www.taka-dental-clinic.com/
根管治療専門ブログ https://www.taka-dental-clinic.com/blog/





