カテゴリー:

だいぶご無沙汰しておりまして申し訳ございませんm(_ _)m
根管治療をしていないのではなくて、むしろ根管治療で忙しくしており、なかなかブログの更新が出来ないでおりました。
そこで、昨年の患者さんの経過を振り返ると共に、ご自身と似たような状態だと思われた方は、諦めなければその歯が助かるかもしれませんので、最後までお付き合いいただければ幸いです。
こちらの患者さんは、10年以上前に治療したところが、急に痛み出した、そして歯肉も腫れていると来院されました。お口の中を拝見させていただくと治療途中の歯が・・・。聞けば症状が出た後、地元の歯医者さんで2、3回治療をしたが回復の兆しがないことこれでダメなら抜歯!と言われたことからネットで調べて当クリニックを受診したとのこと。
確かに歯肉は腫れており、歯に圧力が加わると痛みがあるとのこと。
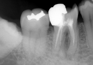
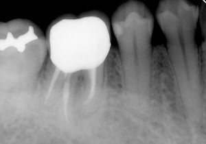
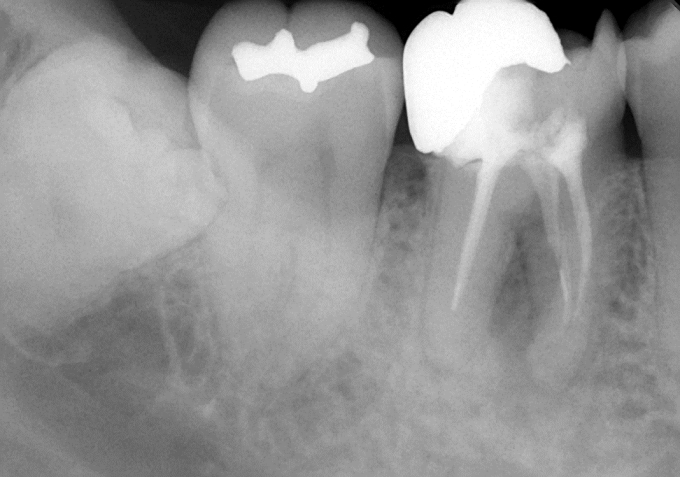
レントゲン写真で確認すると
根の先に病気がある。かぶせ物の適合も悪そう。
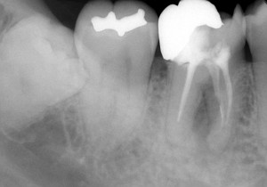
そして・・・
う~ん・・・(汗) どうも治療器具が折れて中に残っていそう(T_T) そのため、根の先まで治療が行えていない。
状況を説明させていただき、治療をスタートしました。
金属の冠を外すと中はかなり感染しておりました。
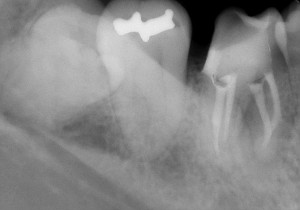
その部位を削合しながら窩洞の内面を整理し、歯を補強するとこんな感じ
そこから中に折れ残っている破折器具と格闘すると・・・・
おお~っと出てきました! 2本しっかり除去しまして
そんなに長くはないのですが、これが行く手を阻んでいました。
その後は、いろいろな器具を使いながらエンヤ~コ~ラ~と進めていくと・・・
こんな感じに無事終了することが出来ました。結構曲がりくねった神経の通り道ですね~。
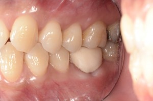
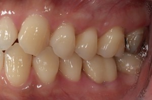
その後は、土台と仮歯を入れて経過観察させていただきました。
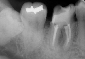
その後は、症状も特になく経過良好であることからかぶせ物を入れて終了となりました(^0^)/
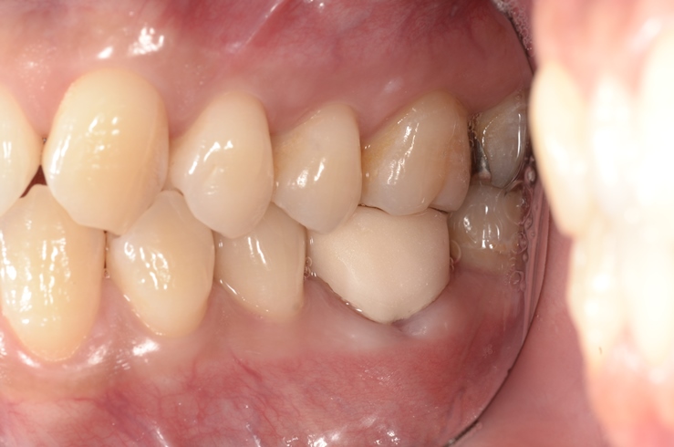
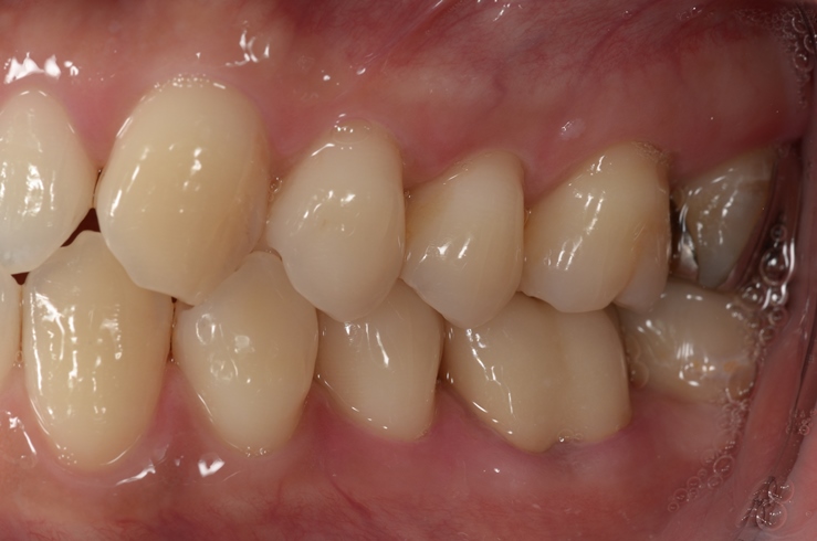
終了時はこんな感じ!
歯の根の病気によって、歯肉が腫れていたりすると抜歯と判断されることが多いですが、実はまだまだ保存の可能性はあります。歯を抜いてからの治療が得意な先生と歯を抜く前の治療が得意な先生がいますので、ご自身の希望を叶えてくれるかもしれない先生を根気よく探していただければと思います。
ちなみに、私は歯を抜く前の治療(歯の保存)が得意な先生です(^^)
このような治療に興味がある、まさに今、根管治療で悩んでいるという方は、一度ご相談いただければ幸いです。
では、最後に・・・・
たかデンタルクリニックHP http://www.taka-dc.com/
根管治療専門HP https://www.taka-dental-clinic.com/
根管治療専門ブログ https://www.taka-dental-clinic.com/blog/














