カテゴリー:
おはようございます。日々の診療や週末のセミナー開催に忙殺され、気付けば4ヶ月もこちらのブログを更新していませんでした。患者さんへの大事な情報発信の場でしたのに大変申し訳ございません。今日は久しぶりに更新しますので、一人でも多くの根管治療でお悩みの患者様に届き、参考にしていただければ幸いです。
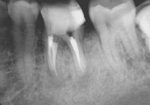
今回の患者様は、もうかれこれ10年の長いお付き合いの患者様です。来院のきっかけは、むし歯の治療でしたが、レントゲン写真から以前の神経を取った治療を行ったところに新たな病気が出来ていました。患者様の希望もあり、根管治療とその後の被せ物の治療も行いました。
約10年前のその当時を思い出してみると、私はマイクロスコープを使った根管治療を始めたばかりの頃だったと思います。いろいろなセミナーに通い、技術を習得していました。
その習得したばかりの技術を用いして何とかこの歯を保存できないかとがんばっていたことと思われます。
現在と比べると、使用している器具や材料では違いはありますが、治療において守るべき基本的なところは変わっておらず、基本に忠実な治療をしたのではないでしょうか。
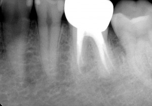
その後は経過も良く問題ありませんでしたので、被せ物の治療を行いました。
それから10年・・・
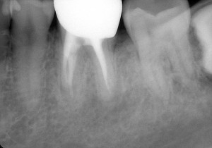
先日、いつもの3ヶ月毎の定期検診にお越しいただき、全体のチェックと共に根管治療部位のレントゲン写真も撮らせていただきました。
この10年症状も無く、もちろん新たなむし歯を作ることなく経過良好で過ごしていただいております。
ここまできて私もホッと一安心といったところです。治療において知識や技術の習得には終わりはありません。私も自分の伸びしろ信じ、多くの患者様に笑顔が戻るように日々精進していきたいと思います。
では、今後ともどうぞよろしくお願い致します。
出来るだけ更新するようにがんばります(^o^)/
たかデンタルクリニックHP http://www.taka-dc.com/
根管治療専門HP https://www.taka-dental-clinic.com/
根管治療専門ブログ https://www.taka-dental-clinic.com/blog/






