カテゴリー:

またまたご無沙汰しておりまして、大変申し訳ございませんm(_ _)m
根管治療は日々行っており、決して患者様にご案内出来る内容がないわけではないので、その辺はご理解の程よろしくお願い致します。
というわけで、今回は、他院からご紹介いただいた患者様の治療後の経過チェックについて。
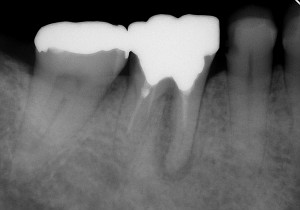
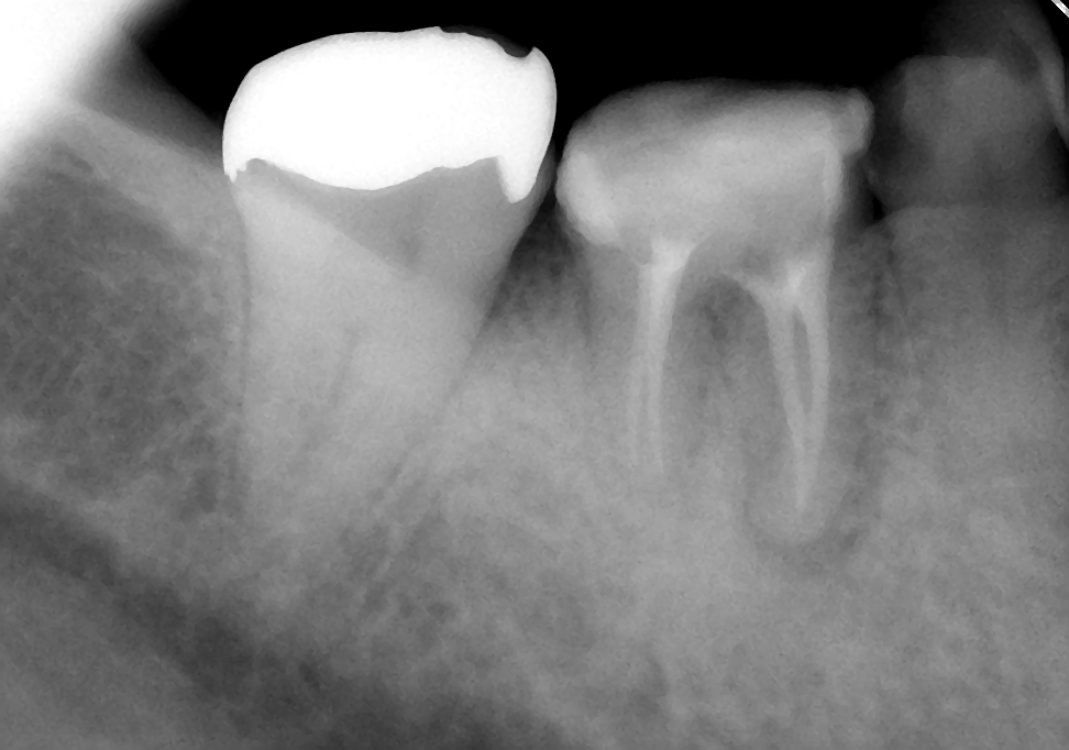
初診時は、時々歯肉から膿が出てきたり、鈍痛を感じることがあったとのこと。レントゲン写真を見ると確かに病気が出来ている影が・・・。さらに、この影の形を見るともしかしたら歯の根が割れているかもしれない。そうなると抜歯に移行しなければなくなる可能性もあることなど病気が治る喜びだけでなく、リスクや起こりうる可能性についても細かく説明させていただいた後に治療を開始しました。
↑初診時
治療中に細菌感染しないようにラバーダム防湿を行い(治療する歯だけを露出させ、隔離する状態)、マイクロスコープ(治療用顕微鏡)を用いて細かいところまでしっかり見ながら治療を行いました。
↑※ラバーダムには色が多数あります。上の写真は、どちらも今回の患者様ではありません。
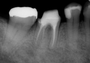
専用の器具とお薬を使いながら根の中の細菌感染をしっかり取り除いたところで、元々神経管があったところを専用の材料でしっかりと封鎖をし、細菌が再度感染しないようにしました。
↑根の治療終了後
その後は、歯の土台を作りしっかり補強した後、仮歯を入れて咬んでも痛くないか、歯肉の腫れは再発しないかなど経過観察をしました。
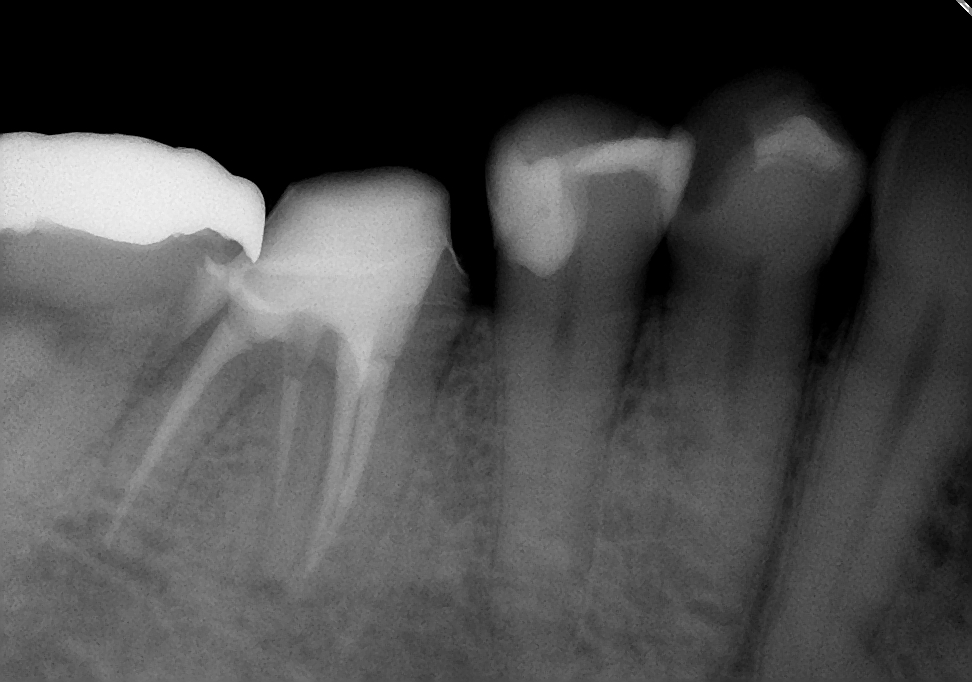
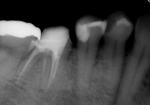
そして今回7ヵ月後・・・
↑7ヵ月後
初診時に溶けていた骨もだいぶ再生されてきました。7ヶ月間症状も特になく、気にすることなく左右バランスよく咬めるとの事。ということで、主治医の先生でかぶせ物を入れてもらうことにしました。まずは一安心(^o^)
このように、当クリニックではしっかり治療後の経過を見させていただくと共に、主治医の先生方とも連絡を取り、患者様にとってベストな治療を提供できればと思っております。歯の根のことで悩まれている方は多いと聞きます。もしもの時は、主治医の先生または、当クリニックにご相談いただければ幸いです。
では、今後ともどうぞよろしくお願い致しますm(_ _)m








